 |
| Two stones in the bladder of a cat |
What is a bladder stone?
A bladder stone is a rock-like accumulation of minerals that
forms in the bladder. Some stones stay small and others can become quite large.
Sometimes, a cat may have a few stones of varying sizes, or a large number of stones that appear to be
like gravel. Sometimes, a cat may have urinary crystals or a bladder infection
that precedes the formation of the stone. Other times, a bladder stone may be a "silent problem" and be diagnosed incidentally when the cat is being examined for other issues.
Bladder stones are also called "urinary calculi"
or "uroliths", and the condition of having bladder stones is called
"urolithiasis". In addition to forming stones in the bladder, a cat
may form stones in the kidneys or the ureters (the tubes that connect the kidneys to the bladder). If a stone passes out of the bladder and becomes lodged in the
urethra (the tube that connects the bladder to the outside of the cat), the
urine flow may become obstructed and develop into a life-threatening emergency.
Bladder stones usually take weeks or months to form.
There are a number of types of stones
that can form in the bladder of cats, but the two most common types are struvite
stones (also known as magnesium-ammonium-phosphate stones, or "triple phosphate
stones") and calcium oxalate stones.
According to the
Minnesota Urolith Center, in 2006, 50% of the stones
found in cats were struvite and 39% were calcium oxalate. The remaining 11%
were a variety of other stones.
What causes bladder stones in cats?
 |
| Stones come in many colors, shapes and sizes! |
No single cause of bladder stones has been identified in cats. Stone formation appears to be related to a variety of factors, including environment, inter-cat relations, diet, eating habits, age, breed, water intake, genetics, litterbox husbandry, and
current medications.
When the urine has a lot of "stuff" in it (body
waste products, proteins, salts, etc.), that "stuff" settles out of solution and
begins to bond together. Even a normal urine sample begins to form crystals
when it is allowed to sit for long periods. As the water portion of the urine
evaporates, more and more of the "stuff" is left behind, and the
urine becomes more concentrated, this is called
supersaturation, and is
considered to be the leading factor in bladder stone and
crystal formation (
ThePrecipitation-Crystallization theory).
This can happen for a variety of
reasons:
- insufficient
water intake
- infrequent
visits to the litter to empty the bladder
- increased
intake or body production of the components that make up urinary stones
and crystals (such as magnesium, ammonia, phosphate, calcium...)
Of cats that have had calcium oxalate stones, there is a
possible breed pre-disposition among Burmese, Himalayan and Persian cats.
Neutered males of all breeds are at 1.5 times higher risk
for calcium oxalate stone formation than females.
Breeds at higher risk for
feline struvite urolithiasis as reported by the Minnesota Urolith Center include the
Foreign Shorthair, Ragdoll, Chartreux, Oriental Shorthair, Domestic Shorthair
and Himalayan. The Rex, Burmese, Abyssinian, Russian Blue, Birman, Siamese and
mixed-breed cats had a significantly lower risk of developing struvite
uroliths. At the California laboratory, Himalayan and Persian cats had a higher
risk for struvite stones compared with their expected breed frequency.
In dogs and humans, struvite
stone formation is usually associated with a urinary tract infection, however
in cats, 80-95% of cat with struvite stones have sterile urine (no bacterial
growth).
Urine pH appears to have a significant effect on stone formation. Oxalate stones
form in neutral to acid urine (pH of 7 or less), struvites form in neutral to
alkaline urine (pH of 7 or more).
Cats that form struvite
stones tend to be younger cats.
Cats that form oxalate
stones tend to be middle-aged to older cats.
About one-third of cats with calcium oxalate bladder stones
have elevated blood calcium (hypercalcemia). Calcium oxalate formation may be related
to hyperparathyroidism or idiopathic hypercalcemia.
What are the symptoms of bladder stones?
Changes in litterbox behavior including:
- straining
to urinate
- urinating
small amounts
- vocalizing
while urinating
- inability
to produce urine
- frequenting
the litterbox (with or without producing urine)
- eliminating
outside the litterbox
- change
in posture in the litterbox
Other signs:
- blood
in the urine
- licking
at the lower abdomen frequently (with or without hair loss)
- licking
genitals frequently
- painful
abdomen
Many of these signs are general signs of any urinary disease
or condition. About 25% of cats with signs of urinary tract disease have
stones, so it is good practice to check any cat that presents with urinary
complaints, to avoid missing a stone and leave the cat at risk for obstruction.
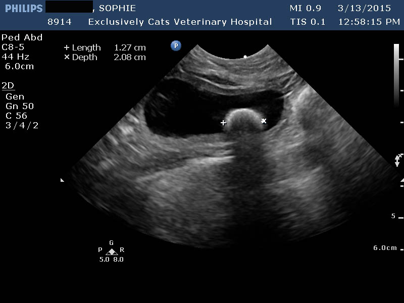
How are bladder stones diagnosed?
Radiography
or ultrasound studies are the most effective way to diagnose a bladder stone.
In
 |
| Ultrasound image: One large stone in a cat bladder |
some cases, we identify bladder stones when taking an x-ray for an entirely
different reason. Some
stones are more likely to be seen on an x-ray than
others. Calcium oxalate stones are much more visible on x-ray than struvite
stones (about 80% of cases involving oxalate stones can be seen on x-ray).
Struvite visibility is dependent on how much calcium phosphate is contained in
the stone. Urate stones are poorly visible on x-ray, and urohemoliths (stones
that form from blood) are not visible on x-ray or ultrasound at all. In some
cases, a special dye may be passed into the bladder through a catheter in order
to try to visualize radiolucent stones (stones that do not show up on x-ray).
This technique is called double-contrast cystography.
How are bladder stones treated?
Dietary
change
Special crystal and stone-dissolving diets, and
crystal/stone prevention diets can be fed to attempt to dissolve the stones,
however, once formed stones made of calcium oxalate will not dissolve. If this course of treatment is chosen, the
cat must not eat any other food but the dissolving diet, or it will slow
the dissolution of the stone. It may take several months to dissolve
struvite stones. Typically, if a stone-dissolving diet is being fed,
x-rays should be taken every 3-4 weeks to ensure that the stone is getting
smaller. If the stone does not appear to be dissolving, then surgical
removal would be the next step. It is not advisable to feed a diet that
simply restricts magnesium or phosphorous intake, as magnesium is an
inhibitor of Calcium Oxalate stone formation, and decreased phosphorous
may cause the body to absorb more calcium, placing the cat at higher risk
for calcium oxalate stones.
Urine pH appears to be a more important factor in stone formation than mineral content of food.
Dietary
supplements or other medications
If dietary change is not effective, oral supplements may be given to assist in changing the urine pH enough to prevent the formation of the offending stones. These supplements include thiazide diuretics, Vitamin
B-6,
potassium citrate for oxalate stones and methionine and ammonium chloride for struvite stones.
Surgery
(cystotomy)
Under general anesthesia, an incision is made into the
abdomen and then into the bladder to remove the stones. The bladder is flushed with sterile saline
to ensure the removal of all stones and debris. The abdomen is closed and
a post-surgical x-ray or ultrasound is performed (depending on how the
stones were diagnosed) to ensure that all stones have been removed. The
stones are then sent to a reference laboratory for analysis. Bladder
stones of similar makeup can look different, so it is important to
identify the stones to determine the correct treatment. Recovery is
usually 24 hours, but some cats may be uncomfortable post-surgery and have
blood in the urine or may continue to strain in the litterbox until the
bladder is healed.
Retrieval
of the stones through manual expression
The veterinarian gently compresses
the bladder while the cat is under anesthesia, and the stream of urine
carries the stones with it. This can only be done if the stones are small
- <5mm in females and <1mm in males. This is
called "
urohydropropulsion". If this is performed on a cat
with larger stones, the stones can become lodged in the urethra and cause
an obstruction. At that point, steps must be taken to un-obstruct the cat,
and then surgical removal of the stones should be performed so that the
cat does not re-obstruct while trying to urinate.
Cystoscopy
retrieval
If the urethra is large enough in a female cat, the stones can
be "fished up" in a
special instrument and crushed to allow them
to be expressed. This procedure is generally only performed at university
veterinary hospitals as it requires special expertise.
Encourage
water intake
Offer fresh water in multiple locations in the home. Water fountains may be more attractive than a plain dish. Additionally, feeding only canned food (no dry kibble) will add moisture to the diet, as canned foods contain 70-80% moisture. Increased water content dilutes the urine, preventing the urine from becoming supersaturated. Cats with idiopathic urinary tract disease that ate a high-mosture-containing diet (wet food) had a
recurrence rate that was 1/2 that of cats eating a dry food diet.
Lithotripsy
This procedure involves shock waves generated either within the bladder or outside of the body
to break up the stones. This requires special equipment and expertise, so
is not generally available. This treatment is only available for female
cats as it involves the use of a cystoscope which is too large to place in
a male cat's urethra. This procedure is offered at the following
universities:
The University of California Veterinary School in Davis, The
University of Minnesota Veterinary School , Minnesota Urolith Center, the
Veterinary School at Purdue University, the Cummings School of Veterinary
Medicine at Tufts. It is also performed at the veterinary school in
Montreal and Guelph, the Animal Medical Center (AMC) in New York, and the University of
Tennessee. Cost for this type of procedure is $1500-7000.
Antibiotics
If
stones are present along with a urinary tract infection, antibiotics
should be given to treat the infection. Sometimes, a stone can be a source
of infection, if bacteria are embedded within, so an infection that is not
responsive to an appropriate antibiotic (determined by performing a
culture and sensitivity test) may require that the stone be removed before
completing antibiotic treatment.
What is the prognosis for my cat after treatment?
 |
Three reports from Minnesota Urolith Center: It has been a busy month for bladder stones!
|
Many cats that develop stones will be at a high risk for recurrent issues, even with preventive care. This is why is is important to follow-up with your veterinarian on a regular schedule.
>20% recurrence of struvite stones
25-48% recurrence of calcium oxalate stones
What if I choose not to treat my cat for bladder stones?
Chronic inappropriate urination, urinary obstruction which
results in an emergency situation that could become fatal. Signs of a urinary
blockage include - poor appetite, vomiting, nausea, firm, painful and distended
abdomen, and other signs similar to the presence of urinary stones.
How can I prevent bladder stones?
- If your cat has elevated calcium levels, followup should be done to identify whether it is idiopathic hypercalcemia or hyperparathyroid
disease, and treatment should be performed.
- Feed canned food daily (3-6oz) - Canned food is 80% water and will increase a cat's hydration
level, encouraging urine output, encouraging more freuqent trips to the
litterbox, preventing urine from remaining in the bladder for long periods of
time.
- Encourage water consumption -this results in more dilute
urine which prevents crystals and stones from forming. We aim for a urine
concentration below 1.030.
http://www.peteducation.com/article.cfm?c=21+1276&aid=1061
- Offer a sufficient number of litterboxes for your cat population
and clean them at least once daily (Read more about litterboxes) - Even if a
cat is not urinating outside the litterbox, if the cat is not fully satisfied
with the box, he may choose to urinate less frequently. This allows urine to
sit in the bladder for longer, allowing more time for minerals to settle out of
the urine and bond together into crystals and stones.
- Your vet will likely recommend periodic rechecks -
urinalysis, x-ray or ultrasound, depending on how the stones were diagnosed. It
is highly recommended to abide by these recommendations, so that you can take
steps to treat your cat before it becomes necessary for surgical stone removal
(cystotomy).
- If your cat is prone to calcium oxalate stones, medications
such as prednisolone, lasix, dexamethasone, and Vitamin C should be used with
caution.
Are bladder stones a sign of a larger problem?
In some cases, yes.
Hyperthyroid disease and diabetes place cats at higher risk
for urinary tract infections which, in turn, can be associated with stone formation.
If your cat is in a risk category for these diseases and develops a stone, your
vet may recommend blood testing to rule out other diseases.
Cats with high levels of calcium may have no known cause
("idiopathic hypercalcemia"), or may have an underlying disorder such
as hyperparathyroidism, Cushing's disease or certain types of cancer.
Cats that form urate stones may have a congenital
portal-systemic shunt.